30代で、念願の歯列矯正を始めました。(現在 13ヶ月目)
歯は1ヶ月で1mm程動くと言われていますが、どれくらいで変化が分かるのか記録として残していきたいと思います。
- 歯列矯正はどれくらいで変化が分かるのか
- 大人の歯列矯正の進行具合
について、知りたいあなたへ。是非参考にしてくださると嬉しいです。
ここからは口腔内の写真がメインとなります。

口の中見たくないな…という方は、ここから先へ進むのはお控えくださいませ
- 上の歯 矯正スタート直後(2022.12.29)
- 下の歯 矯正スタート直後(2023.1.13)
- 上の歯 矯正スタートから丸一ヶ月(2023.1.29)
- 下の歯 矯正スタートから丸一ヶ月(2023.2.13)
- 綺麗に列んできた実感あり!(2023.3.1)
- 下の歯 矯正スタートから約3ヶ月(2023.4.11)
- 下の歯 矯正スタートから4ヶ月(2023.5.13)
- 矯正を始めて約半年!(2023.6.14)
- 下の歯の矯正を始めて約半年!(2023.7.14)
- 下の歯 アーチ作り(2023.8.12)
- 下の歯 アーチ作り(2023.9.26)
- 上の歯 綺麗なアーチに!(2023.11.11)
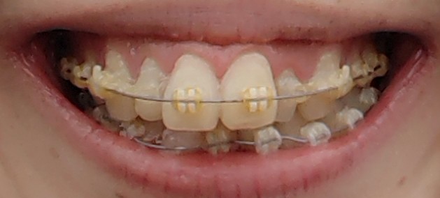
- 歯列矯正を始めて約1年!(2023.12.4)
- 笑った時に歯が気にならなくなった
上の歯 矯正スタート直後(2022.12.29)

上の歯から器具が付き始めました。
器具を付けた当日よりも翌日の方が、食べ物を噛む時に痛みを感じました。
下の歯 矯正スタート直後(2023.1.13)

下の歯にも、器具が付きました。
先生に、少しずつ歯が動いてきたねと言われましたが、私は今の所実感はありません。
上の歯 矯正スタートから丸一ヶ月(2023.1.29)

上の歯はそんなに変わりない気がしますが、下の歯のワイヤーのアーチが少し綺麗になってきた気がします。
下の歯 矯正スタートから丸一ヶ月(2023.2.13)

大きくは変わりない気がします。
綺麗に列んできた実感あり!(2023.3.1)

下の歯が綺麗になってきました!!
先生に言われて気づきました(笑)


写真を並べてみると変化が分かりやすいですね。
嬉しいです。先生に感謝です。
下の歯 矯正スタートから約3ヶ月(2023.4.11)

下の歯が綺麗に並んできました!
上の歯の2番目も少しずつ前に出てきてくれている気がします。
下の歯 矯正スタートから4ヶ月(2023.5.13)

上の歯の2番目にも、とうとうワイヤーが通り始めました。
矯正を始めて約半年!(2023.6.14)
下の歯を綺麗に並べてスペースを作るため、ゴムがかけられました。
下の歯の矯正を始めて約半年!(2023.7.14)


下の歯のアーチを広げる器具がつきました。
下の歯 アーチ作り(2023.8.12)


上の歯の2番目が少しずつ前に出てきてくれました。
下の歯 アーチ作り(2023.9.26)


下の歯のアーチを広げる器具が取れました。
少し見えづらいですが、下の内側にある歯を前に出すスペースを作るため、器具をつけました。
上の歯 綺麗なアーチに!(2023.11.11)


下の内側にある歯を前に出すべくゴムを引っ掛けていただきました。
歯列矯正を始めて約1年!(2023.12.4)


下の歯の内側にある歯が少しずつ前に出てきました。




笑った時に歯が気にならなくなった
1年経ってみて振り返ると、笑った時に周りの方からの視線とかが気にならなくなりました。
歯が綺麗に並んできていることも嬉しいし、口角が上がっていることも嬉しいです。
口内炎が辛い時もありますが、30代からでも矯正を始めて良かったです!言い切れます!

コメント